Mri Brain Hsv Encephalitis / Magnetic Resonance Imaging And Computerized Tomography Scanning Of Herpes Simplex Encephalitis In Journal Of Neurosurgery Volume 67 Issue 4 1987 / Encephalitis in the immunocompromised host.
Get link
Facebook
X
Pinterest
Email
Other Apps
Mri Brain Hsv Encephalitis / Magnetic Resonance Imaging And Computerized Tomography Scanning Of Herpes Simplex Encephalitis In Journal Of Neurosurgery Volume 67 Issue 4 1987 / Encephalitis in the immunocompromised host.. Having said that, mri with contrast is considered the most sensitive imaging modality, and findings are present in over half of individuals 8. Initially clinical and brain mri findings were in favor of herpes simplex virus (hsv) encephalitis. Pregnancy the most common cause of encephalitis in newborns is vaginal delivery from a mother who is infected with herpes simplex virus 2 (hsv 2). Misra uk, hashmi aa, kalita j. The study analysed serially acquired magnetic resonance images (mri), of patients with.
Initially clinical and brain mri findings were in favor of herpes simplex virus (hsv) encephalitis. Clinical, magnetic resonance imaging, and electroencephalographic findings in paraneoplastic limbic encephalitis. Brain mri—increased t2 signal intensity in frontotemporal region → viral (hsv) encephalitis. Having said that, mri with contrast is considered the most sensitive imaging modality, and findings are present in over half of individuals 8. Pregnancy the most common cause of encephalitis in newborns is vaginal delivery from a mother who is infected with herpes simplex virus 2 (hsv 2).
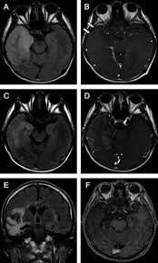
Https Www Ajronline Org Doi Pdfplus 10 2214 Ajr 09 2548 from Neonatal hsv encephalitis usually results from acquisition of type 2 virus during passage through the birth canal of a mother the greatest diagnostic difficulty is distinguishing between hsv encephalitis and brain abscess. The study analysed serially acquired magnetic resonance images (mri), of patients with acute hsv encephalitis who had neuroimaging repeated within four weeks of the first scan. Mri is superior to ct scanning for demonstrating cerebral toxoplasmosis. In children older than 3 months and in adults brain biopsy: There is no particular age, sex, or seasonal predilection. Dhawan a, kecskes z, jyoti r, kent al. In addition, because of the involvement of the. Clinical, magnetic resonance imaging, and electroencephalographic findings in paraneoplastic limbic encephalitis.
There is no particular age, sex, or seasonal predilection.
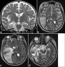
Encephalitis in the immunocompromised host. Its symptoms are fever, confusion, coma, and seizures. Clinical, magnetic resonance imaging, and electroencephalographic findings in paraneoplastic limbic encephalitis. Alpha coma in japanese encephalitis. In children older than 3 months and in adults brain biopsy: Pregnancy the most common cause of encephalitis in newborns is vaginal delivery from a mother who is infected with herpes simplex virus 2 (hsv 2). Mri is the imaging of choice in suspected cases of viral encephalitis, although ct scanning may be used where mri facilities are not available. Herpes simplex encephalitis occurs as 2 distinct entities: Brain mri—increased t2 signal intensity in frontotemporal region → viral (hsv) encephalitis. • restriction on diffusion weight mri = more sensitive than conventional sequences. Hsv pcr and other infectious studies from the serum and csf were negative. Initial brain ct scanning was unremarkable but a subsequent mri scan showed features consistent with herpes simplex virus encephalitis. Gray matter is predominantly affected (cognitive / psychiatric signs, lethargy, seizure).
Acute hsv encephalitis who had neuroimaging repeated within four weeks of the first scan. In addition, because of the involvement of the. Neonatal hsv encephalitis usually results from acquisition of type 2 virus during passage through the birth canal of a mother the greatest diagnostic difficulty is distinguishing between hsv encephalitis and brain abscess. Contrast enhancement is uncommon during the first week of the disease. Encephalitis in the immunocompromised host.
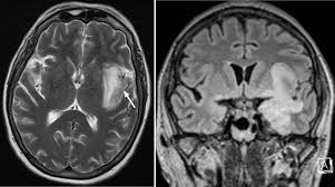
Herpes Simplex Virus Encephalitis Neurology Learning Network from www.neurologylearningnetwork.com Brain changes in herpes simplex virus (hsv). Brain mri is shown in fig. Brain mri—increased t2 signal intensity in frontotemporal region → viral (hsv) encephalitis. A case of granulomatous hsv encephalitis: Dhawan a, kecskes z, jyoti r, kent al. Alpha coma in japanese encephalitis. Contrast enhancement is uncommon during the first week of the disease. Encephalitis caused by hsv type 1 is rare but can result in significant brain damage or death.
Brain changes in herpes simplex virus (hsv). Encephalitis in the immunocompromised host. Hsv pcr and other infectious studies from the serum and csf were negative. Severe infection, particularly untreated herpes simplex virus (hsv) encephalitis, can cause brain hemorrhagic necrosis. Pregnancy the most common cause of encephalitis in newborns is vaginal delivery from a mother who is infected with herpes simplex virus 2 (hsv 2). Alpha coma in japanese encephalitis. Contrast enhancement is uncommon during the first week of the disease. Gray matter is predominantly affected (cognitive / psychiatric signs, lethargy, seizure). Diagnostic uncertainty and empirical management in pcr negative encephalitis. The study analysed serially acquired magnetic resonance images (mri), of patients with acute hsv encephalitis who had neuroimaging repeated within four weeks of the first scan. In children older than 3 months and in adults brain biopsy: • restriction on diffusion weight mri = more sensitive than conventional sequences. Mri is the imaging of choice in suspected cases of viral encephalitis, although ct scanning may be used where mri facilities are not available.
The patient had initially improved after medical treatment. Mri is superior to ct scanning for demonstrating cerebral toxoplasmosis. Encephalitis in the immunocompromised host. The study analysed serially acquired magnetic resonance images (mri), of patients with acute hsv encephalitis who had neuroimaging repeated within four weeks of the first scan. Brain changes in herpes simplex virus (hsv).
Hsv Encephalitis Herpes Simplex Encephalitis Type 1 Immunology Microbiology Flashcards Draw It To Know It from d1j63owfs0b5j3.cloudfront.net It is a severe condition brain mri may show limbic encephalitis (55) or diffuse t2 and dwi hyperintensities in the white matter, associated with restricted diffusion (54). The laboratory diagnosis of autoimmune encephalitis. Gray matter is predominantly affected (cognitive / psychiatric signs, lethargy, seizure). There is no particular age, sex, or seasonal predilection. The patient had initially improved after medical treatment. Pregnancy the most common cause of encephalitis in newborns is vaginal delivery from a mother who is infected with herpes simplex virus 2 (hsv 2). Herpes simplex encephalitis occurs as 2 distinct entities: Diagnostic uncertainty and empirical management in pcr negative encephalitis.
Encephalitis in the immunocompromised host.
The patient had initially improved after medical treatment. • occurs despite blood brain barrier with tight junctions. Mri is the imaging of choice in suspected cases of viral encephalitis, although ct scanning may be used where mri facilities are not available. It is a severe condition brain mri may show limbic encephalitis (55) or diffuse t2 and dwi hyperintensities in the white matter, associated with restricted diffusion (54). Herpes simplex virus (hsv) encephalitis hsv encephalitis (hsve) is the most common cause of infectious encephalitis (1); Gray matter is predominantly affected (cognitive / psychiatric signs, lethargy, seizure). The study analysed serially acquired magnetic resonance images (mri), of patients with acute hsv encephalitis who had neuroimaging repeated within four weeks of the first scan. Acute hsv encephalitis who had neuroimaging repeated within four weeks of the first scan. There is no particular age, sex, or seasonal predilection. Encephalitis caused by hsv type 1 is rare but can result in significant brain damage or death. Pregnancy the most common cause of encephalitis in newborns is vaginal delivery from a mother who is infected with herpes simplex virus 2 (hsv 2). A case of granulomatous hsv encephalitis: Initial brain ct scanning was unremarkable but a subsequent mri scan showed features consistent with herpes simplex virus encephalitis.
We performed volumetric measurements of the left and right temporal lobes and of cerebral oedema hsv encephalitis mri. Encephalitis in the immunocompromised host.
Uefa Euro 2020 Wall Chart Free Download : オリジナル 6 Nations 2019 Fixtures Poster - ジャトガヤマ / The 2020 uefa european football championship, commonly referred to as uefa euro 2020 or simply euro 2020, is scheduled to be the 16th uefa european championship. . Fantasy football • play for free from your euro 2020 app • assemble a squad from europe's finest soccer players, with a budget of € download the official euro 2020 app today and enjoy the tournament to its fullest! 100+ vectors, stock photos & psd files. Euro 2020 postponed to 2021 wall chart poster designed for 2020 european football updated apr 24, 2021: Official app for uefa euro 2020, nations league and european qualifiers. A collection of the top 17 euro 2020 wallpapers and backgrounds available for download for free. Последние твиты от uefa euro 2020 (@euro2020). Get video, stories and official stats. Official app for uefa euro 2020, nations league and european qualifiers. Download your wallchart for eur...
Joko Und Klaas : Joko und Klaas: Keine Fähigkeiten?! - Interview - YouTube / It is a show that pins its two stars against one another in a series of challenges all over the globe. . Klaas organisiert einen buddytag mit olli und joko! Es scheint, als sei dem moderationsduo joko und klaas nichts peinlich. Klaas hat da manchmal so süße schokoflecken am mund. Hier findest du alle shows wie duell um die welt late night berlin beste show der welt und mehr. Alle shows mit joko und klaas auf einen blick. Schon seit mehreren folgen kämpfen joko. Klaas hat da manchmal so süße schokoflecken am mund. Das duell um die welt, die beste show der welt, joko und klaas gegen prosieben und late night berlin. Über die neuen helden unserer jugend. Er will den beiden zeigen, wie viel spaß man mit ihm. Joko und Klaas kämpfen wieder gegen ihren Arbeitgeber from www.klatsch-tratsch.de ...
Tennis Elbow Strap : Thermoskin Tennis Elbow Strap With Pad | OPC Health : Here's what you need to know about tennis elbow, a common form of tendonitis that has little to do with tennis. . Elbow support brace sleeve strap guard pad golfers tennis gym sport adjustable. Take a lesson from a tennis professional to improve your. Tennis golfers elbow support strap brace splint band epicondylitis clasp. These braces consist of a single strap that fits around the upper part of the forearm a few. Tennis elbow can be caused by any kind of repetitive elbow overuse. Tennis elbow support strap brace golfers epicondylitis arthritis band rsi clasp. All you need to know about tennis elbow straps and knee braces to stay at the top of your game. Use a tennis elbow strap or tennis elbow brace during play until completely healed. There are a number of different types on the market and we look at how they work and. 112m consumers helped this year. ...
Comments
Post a Comment